Aparatos fijos en A Coruña para clínicas dentales

Aparatos fijos en A Coruña para clínicas dentales

¡Me interesa!

Las mejores soluciones de ortodoncia fija las ofrece nuestro laboratorio

En el Laboratorio Maite Campelo ofrecemos servicios de fabricación de aparatología fija en A Coruña para dentistas y clínicas.

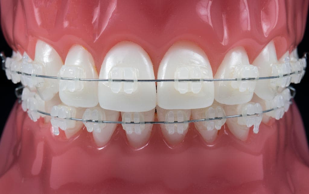
Los aparatos fijos son los más utilizados para alinear los dientes y son efectivos porque controlan la fuerza exacta ejercida sobre cada diente. Si quiere ofrecer a sus pacientes soluciones de ortodoncia fija resistentes y de calidad, apueste por nuestro laboratorio. Los hacemos totalmente a medida y a partir de escáneres 3D.

Las mejores soluciones de ortodoncia fija las ofrece nuestro laboratorio
Nuestros modelos de aparatología fija en A Coruña

Nuestros modelos de aparatología fija en A Coruña

Los aparatos fijos son soluciones eficaces para diferentes necesidades. En el Laboratorio Maite Campelo disponemos de los siguientes modelos de aparatología fija:

  • Quad-helix (con brazos anteriores, ganchos para máscara, removible y con reja lingual)
  • Bihelix
  • Mantenedor de espacio
  • Botón de Nance (con barra transpalantina)
  • Péndulo de Hilgers
  • TPA
  • Barra lingual
  • Hirax (con resortes o con ganchos para máscara)
  • Macnamara
  • Retenedor lingual
  • Reja lingual
  • Lip Bumper
¡Elija los aparatos fijos de Laboratorio Maite Campelo!

¡Elija los aparatos fijos de Laboratorio Maite Campelo!

Si quiere ofrecer a sus pacientes una ortodoncia fija de la mejor calidad, apueste por las soluciones de nuestro laboratorio. Haga sus encargos de aparatología fija para su clínica dental.

¡Haga un encargo!

Más información sobre ortodoncia fija

¿Realizáis el reacondicionado o reciclaje de brackets, bandas y aparatología fija?

Sí, en nuestro laboratorio hacemos el reacondicionado y reciclaje de brackets, bandas y aparatología fija bajo demanda.

¿Es mejor la ortodoncia fija o removible?

La ortodoncia fija es generalmente más efectiva para movimientos dentales complejos, ya que aplica fuerzas constantes y precisas. La ortodoncia removible, en cambio, es mejor para casos más leves y destaca por su comodidad y mejor higiene, aunque requiere mucha disciplina por parte del paciente para usarla las horas necesarias.

¿Existe riesgo de que mis dientes se muevan después de una ortodoncia fija?

Sí, existe un riesgo alto de que los dientes vuelvan a su posición original porque los tejidos de soporte tienen "memoria". Para evitarlo, es absolutamente esencial utilizar retenedores (fijos o removibles) de forma constante. En nuestro laboratorio fabricamos placas de ortodoncia y férulas para ello.

Más información sobre ortodoncia fija

Consulte más sobre la fabricación de aparatos fijos en A Coruña

Si quiere saber más sobre nuestro trabajo de fabricación de ortodoncia fija en A Coruña, no dude en contactar con nuestro laboratorio. ¡Llámenos!

Contactar